A 51 year old male with Right sided plueral effusiin

SHORT CASE - FINAL MBBS PART 2 PRACTICAL EXAMINATION.

Name : MD. PARVEZ AHMED ANSARI
REG. NO.: 1701006111
This is an online Elog book to discuss our patient deidentified health data shared after taking his/ her guardians sign informed consent.

Here we discuss our individual patient problems through series of inputs from available Global online community of experts with n aim to solve those patient clinical problem with collect6current best evidence based input
This Elog also reflects my patient centered online learning portfolio.
Your valuable inputs on comment box is welcome


* I have been given this case to solve in an attempt to understand the topic of " Patient clinical data analysis" to develop my competency in reading and comprehending clinical data including history, clinical finding, investigations and come up with a diagnosis and treatment plan.

CONSENT AND DE-IDENTIFICATION : 
The patient and the attenders have been adequately informed about this documentation and privacy of the patient is being entirely conserved. No identifiers shall be revealed through out the piece of work whatsoever.
A 51 year old  male patient who is a resident of chitayala ,who works is a labourer in a goods company came to the hospital with chief complaints of:
Fever since 10 days 
Shortness of breath since 10days 
Cough since 7 days 



HISTORY OF PRESENT ILLNESS :
The patient was apparently a symptomatic  10days back then he developed high grade fever which was insidious in onset associated with chills and rigours and was relieved on taking medications .
The patient was able to walk a kilometer 10 days back and later slowly was facing shortness of breath even after walking for short distances and which became so severe that even at rest he was feeling shortness of breath .Not associated with wheeze ,no Orthopnea,no paraxsomal nocturnal dyspnea ,no pedal Edema.


Cough since 7 days which is productive mucoid in consistency, whitish,scanty in amount ,non foul smelling, non blood stained .more during night time and on supine position.right sided chest pain diffuse ,
intermittent ,dragging, aggravated on cough ,non radiating ,not associated with sweating ,palpitations .


THERE is weight loss which is present ,no loss of appetite 
no history of pain abdomen abdominal distension ,vomiting ,loose stools .
no history of burning maturation .


PAST HISOTRY:
patient gives the history of jaundice 20 days back which resolved in a week without any medications .
no history of diabetes, hypertension,tuberculosis,bronchial asthma ,Copd,coronary heart disease ,thyroid disease ,cerebrovascular accident .

FAMILY HISTORY:
no similar complaints in the family 


PERSONAL HISTORY:
patient is a chronic smoker smokes a pack of cigarettes since past 25 years .
He is a chronic alcoholic consumes 325ml (quarter ml of whiskey)daily.
no bowel and bladder disturbances .

SUMMARY:
51 year old with fever cough and shortness of breath possible diagnosis
1-pleural effusion 
2-pneumonia 


GENERAL EXAMINATION :
patient is moderately built and nourished .
he is conscious ,comfortable .no signs of pallor ,cyanosis, icterus ,koilonychia ,lymphadenopathy ,edema .

vitals:
patient is afebrile 
pulse -83 beats per minute ,normal volume ,regular rhythm,normal character ,no radio femoral delay.
BP-110/70mmhg,measured in supine position in both arms .
Respiratory rate -22 breaths per min




SYSTEMIC EXAMINATION : 


Patient examined in sitting position


Inspection:-

oral cavity- Nicotine staining seen on teeth and gums ,nose,chest movements NORMAL

Respiratory movements appear to be decreased on right Side


Trachea is shifting towards left  & Nipples are in 4th Intercoastal space


Apex impulse visible in 5th intercostal space.

NO SIGNS OF VOLUME LOSS

no dilated veins ,scars ,sinuses ,visible pulsations ,

no rib crowding ,no accessory muscle usage .




Palpation:-

All inspiratory findings are confirmed

Trachea is shifted 

Apical impulse in left 5th ICS, 

1cm medial to mid clavicular line


Respiratory movements decreased on right side


Tactile and vocal fremitus reduced on right side in infra axillary and infra scapular region




s. 


Gastrointestinal system : 

Inspection - 

-Abdomen DISTENDED 


-All quadrants of abdomen are equally moving with respiration except Right upper quadrant 


No visibe sinuses ,scars , visible pulsations or visible peristalsis


Palpation: 

All inspectory findings are confirmed.

No tenderness .

Liver - is palpable 4 cm below the costal margin and moving with respiration.

Spleen : not palpable.

Kidneys - bimanually palpable.


Percussion - normal



Auscultation- bowel sounds heard .

No bruits .


Cardiovascular system - 

S1 and S 2 heard in all areas ,no murmurs




Final Diagnosis : 

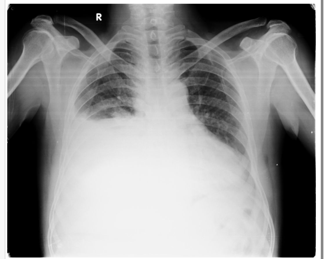
Right sided Pleural effusion likely infectious etiology. 



INVESTIGATIONS :
XRAY:CURVED SHADOW AT THE LUNG BASE ,BLUNTIJG THE COSTOPHRENIC ANGLE AND ASCENDING TOWARDS THE AXILLA 

SHIFTING DULLNESS IS SEEN ON EXAMINATION 





Pleural fluid analysis : 

Colour - straw coloured 

Total count -2250 cells

Differential count -60% Lymphocyte ,40% Neutrophils 

No malignant cells.

Pleural fluid sugar = 128 mg/dl

Pleural fluid protein / serum protein= 5.1/7 = 0.7 

Pleural fluid LDH / serum LDH = 0.6



Interpretation: Exudative pleural effusion.


Serology negative 

Serum creatinine-0.8 mg/dl 

CUE - normal











Final diagnosis :
1.right sided pleural effusion 
2. Right lobe liver abscess 


Treatment :




Comments

Popular posts from this blog

Medicine blended assignment.

59/Y with asymmetrical oligoarithritis

57 Y/M came to casuality with complaints of gemeralized weakness for 1 month, fever for 1 week and altered semsorium for for 3 days